+7 (342) 255-52-86
г. Пермь,
Комсомольский проспект, 28а
+7 (342) 255-52-86
Написать в WhatsApp
Оставьте свой номер, мы свяжемся с вами в ближайшее время
должен начинаться на +7
Заказать звонок
СОЗДАЕМ
БЕЗУПРЕЧНЫЕ
УЛЫБКИ
Хочу новую улыбку! 
Стоматологи ортопеды «32 Практика» — настоящие эксперты
по эстетическим реставрациям.

С нами вас ждет идеальная эстетика: прозрачный край, детально проработанный микрорельеф зубов и здоровый вид десны.
Ваша улыбка станет неотразимой и сохранит свою естественность!
Мы создаем улыбки, которые вдохновляют!
Виниры — это тонкие пластинки из керамики, которые крепятся на переднюю поверхность зубов, чтобы улучшить внешний вид улыбки.
Изготавливаются в зуботехнической лаборатории. Срок службы зависит от материала конструкций. На стоимость реставрации влияет вид виниров, первичное состояние зубов, необходимость проведения лечебных процедур.
Какие проблемы решают виниры?
■ неправильное положение зубов 
■ изменение цвета эмали зубов
■ наличие промежутков между зубами
■ сколы зубов
■ повышенная стираемость зубов
Все эти проблемы решают керамические виниры.
Вас ждет Anti-age эффект: зубы станут белыми, здоровыми
и ровными.
Задать вопрос
Виниры — это тонкие пластинки из керамики, которые крепятся на переднюю поверхность зубов, чтобы улучшить внешний вид улыбки.
Какие проблемы решают виниры?
Какие проблемы решают виниры?
■ неправильное положение зубов 
■ изменение цвета эмали зубов
■ наличие промежутков между зубами
■ сколы зубов
■ повышенная стираемость зубов
■ неправильное положение зубов 
■ изменение цвета эмали зубов
■ наличие промежутков между зубами
■ сколы зубов
■ повышенная стираемость зубов
Все эти проблемы решают керамические виниры.
Вас ждет Anti-age эффект: зубы станут белыми, здоровыми и ровными.
Все эти проблемы решают керамические виниры.
Вас ждет Anti-age эффект: зубы станут белыми, здоровыми и ровными.
Задать вопрос
Кейс №1
Кейс №2
Кейс №3
Кейс №4
Кейс №5
Кейс №6
Кейс №7
Кейс №8
24 керамические реставрации
Стоимость — 1 400 180₽*
*не включая предварительное терапевтическое лечение.
Врач стоматолог-ортопед:
Цепенников Антон Владимирович
Хочу так же!
24 керамические реставрации
Стоимость — 948 000₽*
*не включая предварительное терапевтическое лечение.
Врач стоматолог-ортопед:
Пономарев Станислав Евгеньевич
Хочу так же!
2 керамические реставрации
Стоимость — 133 000₽*
*не включая предварительное терапевтическое лечение.
Врач стоматолог-ортопед:
Верхотуров Алексей Сергеевич
Хочу так же!
28 керамических реставраций
Стоимость — 760 400₽*
*не включая предварительное терапевтическое лечение.
Врач стоматолог-ортопед:
Цепенников Антон Владимирович
Хочу так же!
10 керамических реставраций
Стоимость —  478 500₽*
*не включая предварительное терапевтическое лечение.
Врач стоматолог-ортопед:
Пономарев Станислав Евгеньевич
Хочу так же!
4 керамические реставрации
Стоимость — 281 300₽*
*не включая предварительное терапевтическое лечение.
Врач стоматолог-ортопед:
Верхотуров Алексей Сергеевич
Хочу так же!
16 керамических реставраций
Стоимость — 890 000₽*
*не включая предварительное терапевтическое лечение.
Врач стоматолог-ортопед:
Цепенников Антон Владимирович
Хочу так же!
10 керамических реставраций
Стоимость — 440 000₽*
*не включая предварительное терапевтическое лечение.
Врач стоматолог-ортопед:
Цепенников Антон Владимирович
Хочу так же!
До
После
24 керамические реставрации
Стоимость — 890 000₽*
*не включая предварительное терапевтическое лечение.
Врач стоматолог-ортопед:
Цепенников Антон Владимирович
До
После
24 керамические реставрации
Стоимость — 948 000₽*
*не включая предварительное терапевтическое лечение.
Врач стоматолог-ортопед:
Пономарев Станислав Евгеньевич
До
После
2 керамические реставрации
Стоимость — 133 000₽*
*не включая предварительное терапевтическое лечение.
Врач стоматолог-ортопед:
Верхотуров Алексей Сергеевич
До
После
24 керамические реставрации
Стоимость — 1 400 180₽*
*не включая предварительное терапевтическое лечение.
Врач стоматолог-ортопед:
Цепенников Антон Владимирович
До
После
10 керамических реставраций
Стоимость — 478 000₽*
*не включая предварительное терапевтическое лечение.
Врач стоматолог-ортопед:
Пономарев Станислав Евгеньевич
До
После
4 керамические реставрации
Стоимость — 281 300₽*
*не включая предварительное терапевтическое лечение.
Врач стоматолог-ортопед:
Верхотуров Алексей Сергеевич
Хочу так же!
В «32 Практика» мы применяем концепцию
— Digital Smile Design (цифровой дизайн улыбки), то есть
моделирование будущей улыбки с применением компьютерных технологий
В «32 Практика» мы применяем концепцию — Digital Smile Design (цифровой дизайн улыбки),
то есть моделирование будущей улыбки с применением компьютерных технологий.
Что это значит?
■  «Цифровой дизайн улыбки» даёт возможность провести детальный анализ челюстно-лицевой области пациента и создать дизайн будущей улыбки шаг за шагом.
■  «Цифровой дизайн улыбки» даёт возможность провести детальный анализ челюстно-лицевой области пациента и создать дизайн будущей улыбки шаг за шагом.
■  Программа учитывает и анализирует все индивидуальные параметры пациента, которые формируют визуальное восприятие улыбки. 
■  Программа учитывает и анализирует все индивидуальные параметры пациента, которые формируют визуальное восприятие улыбки. 
■  Еще до начала всех работ проводится пробная примерка прототипа будущих зубов, и только после утверждения пациентом стартует процесс изготовления.
■  Еще до начала всех работ проводится пробная примерка прототипа будущих зубов, и только после утверждения пациентом стартует процесс изготовления.
Smile Design дает преимущества для всех участников процесса:
Врачу

— возможность точно понять, что именно желает получить пациент.
Врачу

— возможность точно понять, что именно желает получить пациент.
Зубному технику

— использовать индивидуальные, а не среднестатистические параметры.
Зубному технику

— использовать индивидуальные, а не среднестатистические параметры.
Пациенту

— еще до начала всех работ вы сможете увидеть себя с новой улыбкой.
Пациенту

— еще до начала всех работ вы сможете увидеть себя с новой улыбкой.
Первое посещение
Второе посещение
Третье посещение
Диагностика

На первичной консультации задача врача максимально понять ваши пожелания. Врач осматривает зубы, проводит фотопротокол. Подсчитываются зубные единицы в линии улыбки, требующие лечения, оценивается их состояние, подбирается материал для винира. Эта информация позволяет команде доктор-техник максимально детализировано оценить клиническую ситуацию и выстроить правильный план.

Мы обсуждаем с вами финансовый план и вы уходите с рассчитанной финальной стоимостью работы. Также мы снимаем оттиски для изготовления Wax-Up (восковое моделирование), это позволит увидеть свою улыбку еще до начала работы.
Примерка улыбки и подготовка зубов к реставрации

Примерка будущей улыбки с помощью Digital Smile Design (моментальный перенос в полость рта дизайна улыбки). Под керамические виниры зубы либо обрабатываются (снятие 0,3-0,5 мм эмали) либо не обрабатываются совсем (виниры без обточки). Это зависит от расположения зубов, цвета, объема и пр.

Согласование дизайна и цвета будущего винира

С помощью интраорального сканерa Сerec Sirona Primescan и делаем «примерочные» виниры на весь период изготовления постоянных (в среднем 10-14 дней). За это время вы можете оценить форму и цвет будущих зубов.
Установка

При полном удовлетворении результатом мы приступаем к фиксации виниров.

Фиксация – это важный этап, от которого зависит срок службы виниров.  Мы используем только специальную адгезивную фиксирующую систему, которая позволяет надежно зафиксировать винир.

Цвет керамических реставраций не изменяется от воздействия красящих веществ, достаточно раз в полгода делать профессиональную гигиену полости рта.
До
После
До
После
До
После
До
После
До
После
До
После
До
После
До
После
Мечтаете об ослепительной улыбке? Запишитесь на прием!
Мечтаете об ослепительной улыбке? Запишитесь на прием!
Почему виниры в «32 Практика» идеальные?
Работать над вашей улыбкой будут
ведущие стоматологи-ортопеды Перми
Цепенников
Антон Владимирович
Врач стоматолог-ортопед,
стаж 25 лет
ПономаревСтанислав Евгеньевич
Пономарев
Станислав Евгеньевич
Врач стоматолог-ортопед,
гнатолог, стаж 17 лет
Верхотуров
Алексей Сергеевич
Врач стоматолог-ортопед,
стаж 16 лет
Записаться
Работать над вашей улыбкой будут
ведущие стоматологи-ортопеды Перми
Цепенников
Антон Владимирович
Врач стоматолог-ортопед,
стаж 25 лет
Пономарев
Станислав Евгеньевич
Врач стоматолог-ортопед,
гнатолог, стаж 17 лет
Верхотуров
Алексей Сергеевич
Врач стоматолог-ортопед,
стаж 16 лет
Записаться
Производятся из прессованной керамики
в нашей зуботехнической лаборатории 32DL.

Это позволяет проконтролировать каждый этап изготовления и провести лечение в короткие сроки.
Толщина виниров около 0,4-0,5 мм.
Виниры по технологии Cerec
(вытачиваются на станке)
Записаться на прием
Записаться на прием
Ультратонкие виниры
ручной работы
Ультратонкие виниры
ручной работы
Авторские «живые» виниры
 ручной работы.

Толщина таких виниров доходит до 0,2 мм.
Они максимально приближены по эстетическим характеристикам к природной эмали.
Авторские «живые» виниры
 ручной работы.

Толщина таких виниров доходит до 0,2 мм.
Они максимально приближены
по эстетическим характеристикам
к природной эмали.
Цена за 1 единицу
Цена за 1 единицу
от 50 750₽
от 53 500₽
Виниры по технологии Cerec
(вытачиваются на станке)
Производятся из прессованной керамики
в нашей зуботехнической лаборатории InLab.

Это позволяет исключить, проконтролировать каждый этап изготовления и провести лечение в короткие сроки.
Толщина виниров около 0,4-0,5 мм.
Цена за 1 единицу
от 30 000₽
Записаться на прием
Ультратонкие виниры
ручной работы
Авторские «живые» виниры
ручной работы.

Толщина таких виниров доходит до 0,2 мм.
Они максимально приближены по эстетическим характеристикам к природной эмали.
Цена за 1 единицу
от 53 500₽
Записаться на прием
Вот почему вам стоит доверить
лечение специалистам «32 Практика»
Собственная зуботехническая лаборатория 32DL
Благодаря этому происходит лучшее взаимодействие ортопеда и техника, сокращение сроков передачи данных.
Благодаря этому происходит лучшее взаимодействие ортопеда и техника, сокращение сроков передачи данных.
Высококачественная керамика для виниров
Мы используем лучшую керамику E.max и Empress. Прямые закупки блоков материала у производителя исключают дешевые китайские подделки.
Мы используем лучшую керамику E.max и Empress. Прямые закупки блоков материала у производителя исключают дешевые китайские подделки.
Установили более 5 000 виниров
Наши стоматологи-ортопеды — эксперты в эстетике. Высокая квалификация и многолетний опыт в реставрации обеспечат вам идеальное качество конечного результата.
Стоматология №1
в Перми
Все еще сомневаетесь?
Запишитесь на консультацию и убедитесь сами в нашем профессионализме!
Записаться
Вот почему вам стоит доверить 
лечение специалистам «32 Практика»
Установили более 5 000 керамических реставраций
Наши стоматологи-ортопеды — эксперты в эстетике. Высокая квалификация и многолетний опыт в реставрации обеспечат вам идеальное качество конечного результата.
Собственная зуботехническая лаборатория 32DL
Благодаря этому происходит лучшее взаимодействие ортопеда и техника, сокращение сроков передачи данных.
Высококачественная керамика для виниров
Мы используем лучшую керамику E.max и Empress. Прямые закупки блоков материала у производителя исключают дешевые китайские подделки.
Почему пациенты выбирают нас?
Диагностика с ИИ — Diagnocat
Искусственный интеллект — для полной и безошибочной диагностики. Вы сразу получаете второе независимое мнение ИИ о вашем здоровье.
Своя зуботехническая лаборатория
«Умные» технологии исключают любые риски ошибок и неточности в изготовлении ортопедических конструкций, а лечение становится быстрее и экономит  ваш бюджет.
В ТОПе стоматологий РФ уже 5 лет!
Центр стоматологии «32 Практика» признана стоматологией №1 в Перми и №7 по России в 2025 г.* —
по рейтингу StartSmile Top и Forbes. Держим статус уже 5 лет!
Выгодная система лояльносит
Кешбэк с каждой оплаты до 7%. Бонусами можно оплатить до 100% счета. Социальная поддержка для многодетных семей и пациентов с особыми потребностями.
Антистресс лечение
на 100%
В зависимости от уровня страха, возраста и других особенностей,
врачи «32 Практика» применяют современные методы антистресс-лечения.
14 лет работаем
на благо пациентов!
Ежедневно с 15 марта 2011 года наша команда делает все, чтобы пребывание каждого пациента в клиниках было комфортным и безопасным, а результат лучшим.
Почему пациенты выбирают нас?
Диагностика с ИИ — Diagnocat
Искусственный интеллект — для полной и безошибочной диагностики. Вы сразу получаете второе независимое мнение ИИ о вашем здоровье.
Антистресс лечение
на 100%
В зависимости от уровня страха, возраста и других особенностей,
врачи «32 Практика» применяют современные методы антистресс-лечения.
В топе стоматологий РФ уже 5 лет!
Центр стоматологии «32 Практика» признана стоматологией №1 в Перми и №7 по России в 2025 г.* —
по рейтингу StartSmile Top и Forbes. Держим статус уже 5 лет!
Выгодная система лояльносити
Кешбэк с каждой оплаты до 7%. Бонусами можно оплатить до 100% счета. Социальная поддержка для многодетных семей и пациентов с особыми потребностями.
Своя зуботехническая лаборатория
«Умные» технологии исключают любые риски ошибок и неточности в изготовлении ортопедических конструкций, а лечение становится быстрее и экономит  ваш бюджет.
14 лет работаем
на благо пациентов!
Ежедневно с 15 марта 2011 года наша команда делает все, чтобы пребывание каждого пациента в клиниках было комфортным и безопасным, а результат лучшим.
Лечитесь с выгодой: программа лояльности
КЕШБЭК
7%
100%
100%
ДО
ДО
+13%
На все виды стоматологических услуг, включая акции и специальные предложения: 5% на все услуги, 7% – при оплате наличными.
Бонусы можно потратить на любого члена семьи, а также третьих лиц.
Ваши накопленные бонусы можно передать для использования любому человеку, кто планирует или уже проходит лечение в клинике
Всем именинникам мы дарим 1000 бонусов на День рождения
Для многодетных семей и пациентов с особыми потребностями, участникам и ветеранам СВО.
ВОЗВРАТ
НАЛОГОВОГО
ВЫЧЕТА
СОЦИАЛЬНАЯ ПОДДЕРЖКА
СОЦИАЛЬНАЯ ПОДДЕРЖКА
+ ПОДАРОЧНЫЕ БОНУСЫ
+ ПОДАРОЧНЫЕ БОНУСЫ
ПОВЫШЕННЫЙ
ПОВЫШЕННЫЙ
СПИСЫВАЙТЕ БОНУСАМИ
КЕШБЭК 10%
КЕШБЭК 10%
Копите бонусы!
Копите бонусы!
Пациенты, кто проходят лечение в клинике всей семьёй, могут копить и тратить бонусы по одной "Карте по номеру телефона". Присоединяйте любое количество родственников и третьих лиц, для этого используется 1 номер для бонусной системы.
Бонусы в подарок!
Бонусы в подарок!
Из каких этапов состоит реставрация винирами?

Первичный прием. Нам с вами надо сделать фотопротокол, КЛКТ-исследование, обсуждаем ваши эстетические запросы (на какие зубы планируем ставить реставрации), рассказываем, как будет происходить установка виниров.

Сканирование полости рта и создание цифрового дизайна улыбки. В специальной программе врач стоматолог проводит анализ лица и существующей улыбки пациента по портретным снимкам. Программа за основу берет «правило золотого сечения». На основе этого программой предлагаются различные варианты по цвету и форме будущей улыбки, которые подойдут именно анализируемому пациенту. Готовится фотопроект будущей улыбки. Пациент может выбрать тот проект, который ему покажется наиболее оптимальным.

Этап препарирования. Доктор делает подготовку (препарирование зубов — неаккуратное стачивание исключено). Благодаря работе под большим увеличением, мы боремся за каждые десятые доли миллиметра собственных тканей зубов. Мы остаемся в пределах эмали, не трогая следующий слой зуба — дентин. Это важно еще и для лучшей фиксации керамической накладки и зуба.

Тест-драйв будущей улыбки. Доктор изготовит временную модель зубов, вы сможете примерить, посмотреть форму, цвет. Если захотите что-то подкорректировать, доктор учтет ваши пожелания. Только после финального согласования с вашей стороны будут изготовлены постоянные виниры.

Этап изготовления — как делают виниры. В зуботехнической лаборатории со слепка техник делает керамические виниры. Он добивается идеальной формы и цвета реставраций. Ждать придется примерно 2 недели.

Можно ли поставить виниры совсем без обточки?

Можно, но это довольно редкий случай. И для такого метода должны быть свои показания: отсутствие любых патологий прикуса, здоровые зубы без кариеса и пломб. Еще одна ситуация, когда обточка не нужна — это недостаток объема вестибулярной поверхности зуба (то есть передняя поверхность зуба плоская, ей надо добавить объема). И нужно помнить, что цвет своих зубов винирами без обточки поменять радикально не получится.

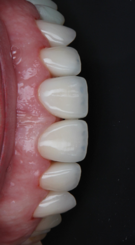
Какими должны быть идеальные виниры?

Наши эксперты-стоматологи собрали для вас основные критерии — как должна выглядеть качественная работа:

Прозрачный режущий край. Натуральные зубы слегка просвечиваются в области края зуба. Такими должны быть и керамические виниры. Иногда можно встретить виниры без прозрачности — они выглядят, как пластмассовые зубы.

Естественная форма зубов. Не квадратная, не как вставные протезы. Вы же не хотите поставить на все зубы «подушечки жвачки Орбит».

Микрорельеф винира. В природе не встречаются зубы с идеально гладкой поверхностью. Виниры тоже не должны быть абсолютно гладкими. Именно поэтому наши зубные техники с помощью микроскопа создают микроуглубления и полоски на керамике.

Цвет. Натуральные зубы неоднородного цвета — по центру зуб ярче, у режущего края прозрачнее, у десны темнее. Наши зубные техники при изготовлении керамической накладки учитывают все цветовые нюансы.

Здоровое состояние десны вокруг винира. Винир — это микропротез, которым покрывается зуб. Но если он зафиксирован неграмотно или с недостаточно точным краевым прилеганием, десна вокруг зуба может воспалиться.

Могут ли недорого стоить виниры (15-20 тысяч рублей за 1), которые сделаны по всем этим высоким стандартам? Нет. Потому что для получения отличного результата, нужно очень многое: опыт докторов, квалификация зубных техников, керамика лучшего качества, дентальные микроскопы и другое передовое оборудование.

Может ли появиться кариес под винирами?

Наши стоматологи-ортопеды следуют самым современным протоколам установки виниров, соблюдают полную стерильность и создают на 100% сухую среду в полости рта, благодаря использованию коффердама.  Благодаря этому винир устанавливается правильно, герметично!

Зуб под виниром, как под защитным колпачком. Там нет остатков еды (углеводов). Под плотно установленный винир ни один кариесогенный микроб не пройдет.

Может ли винир отпасть?

Современная фиксация подразумевает очень прочное соединение винира с зубом. Физически разъединить их между собой очень и очень сложно. Соблюдая все этапы, следуя современным протоколам на всех этапах, мы получаем прочные виниры с максимальным сроком службы.

Сколько прослужат виниры?

15–20 лет. И не факт, что по прошествии этого времени надо что-то будет менять. Главное — приходить на профосмотры по графику, который распишет ваш лечащий врач.

Как ухаживать за винирами?

С керамическими винирами вы можете есть всё, что привыкли: твердые овощи и фрукты, мясо, очищенные орехи.

Но по-прежнему нельзя грызть ногти, колпачки ручек, перекусывать леску и открывать зубами пачки чипсов. Эти привычки вредны! То есть ровно то, что нельзя делать своими зубами — какими бы крепкими и здоровыми они ни были.

Самое главное, относитесь к зубам с любовью: соблюдайте домашнюю гигиену, меняйте зубные щетки, приходите на профгигиену не реже 1 раза в 6 месяцев и регулярно ходите к своему стоматологу.

Из каких этапов состоит реставрация винирами?

Первичный прием. Нам с вами надо сделать фотопротокол, КЛКТ-исследование, обсуждаем ваши эстетические запросы (на какие зубы планируем ставить реставрации), рассказываем, как будет происходить установка виниров.

Сканирование полости рта и создание цифрового дизайна улыбки. В специальной программе врач стоматолог проводит анализ лица и существующей улыбки пациента по портретным снимкам. Программа за основу берет «правило золотого сечения». На основе этого программой предлагаются различные варианты по цвету и форме будущей улыбки, которые подойдут именно анализируемому пациенту. Готовится фотопроект будущей улыбки. Пациент может выбрать тот проект, который ему покажется наиболее оптимальным.

Этап препарирования. Доктор делает подготовку (препарирование зубов — неаккуратное стачивание исключено). Благодаря работе под большим увеличением, мы боремся за каждые десятые доли миллиметра собственных тканей зубов. Мы остаемся в пределах эмали, не трогая следующий слой зуба — дентин. Это важно еще и для лучшей фиксации керамической накладки и зуба.

Тест-драйв будущей улыбки. Доктор изготовит временную модель зубов, вы сможете примерить, посмотреть форму, цвет. Если захотите что-то подкорректировать, доктор учтет ваши пожелания. Только после финального согласования с вашей стороны будут изготовлены постоянные виниры.

Этап изготовления — как делают виниры. В зуботехнической лаборатории со слепка техник делает керамические виниры. Он добивается идеальной формы и цвета реставраций. Ждать придется примерно 2 недели.

Можно ли поставить виниры совсем без обточки?

Можно, но это довольно редкий случай. И для такого метода должны быть свои показания: отсутствие любых патологий прикуса, здоровые зубы без кариеса и пломб. Еще одна ситуация, когда обточка не нужна — это недостаток объема вестибулярной поверхности зуба (то есть передняя поверхность зуба плоская, ей надо добавить объема). И нужно помнить, что цвет своих зубов винирами без обточки поменять радикально не получится.

Какими должны быть идеальные виниры?

Наши эксперты-стоматологи собрали для вас основные критерии — как должна выглядеть качественная работа:

Прозрачный режущий край. Натуральные зубы слегка просвечиваются в области края зуба. Такими должны быть и керамические виниры. Иногда можно встретить виниры без прозрачности — они выглядят, как пластмассовые зубы.

Естественная форма зубов. Не квадратная, не как вставные протезы. Вы же не хотите поставить на все зубы «подушечки жвачки Орбит».

Микрорельеф винира. В природе не встречаются зубы с идеально гладкой поверхностью. Виниры тоже не должны быть абсолютно гладкими. Именно поэтому наши зубные техники с помощью микроскопа создают микроуглубления и полоски на керамике.

Цвет. Натуральные зубы неоднородного цвета — по центру зуб ярче, у режущего края прозрачнее, у десны темнее. Наши зубные техники при изготовлении керамической накладки учитывают все цветовые нюансы.

Здоровое состояние десны вокруг винира. Винир — это микропротез, которым покрывается зуб. Но если он зафиксирован неграмотно или с недостаточно точным краевым прилеганием, десна вокруг зуба может воспалиться.

Могут ли недорого стоить виниры (15-20 тысяч рублей за 1), которые сделаны по всем этим высоким стандартам? Нет. Потому что для получения отличного результата, нужно очень многое: опыт докторов, квалификация зубных техников, керамика лучшего качества, дентальные микроскопы и другое передовое оборудование.

Может ли появиться кариес под винирами?

Наши стоматологи-ортопеды следуют самым современным протоколам установки виниров, соблюдают полную стерильность и создают на 100% сухую среду в полости рта, благодаря использованию коффердама.  Благодаря этому винир устанавливается правильно, герметично!

Зуб под виниром, как под защитным колпачком. Там нет остатков еды (углеводов). Под плотно установленный винир ни один кариесогенный микроб не пройдет.

Может ли винир отпасть?

Современная фиксация подразумевает очень прочное соединение винира с зубом. Физически разъединить их между собой очень и очень сложно. Соблюдая все этапы, следуя современным протоколам на всех этапах, мы получаем прочные виниры с максимальным сроком службы.

Сколько прослужат виниры?

15–20 лет. И не факт, что по прошествии этого времени надо что-то будет менять. Главное — приходить на профосмотры по графику, который распишет ваш лечащий врач.

Как ухаживать за винирами?

С керамическими винирами вы можете есть всё, что привыкли: твердые овощи и фрукты, мясо, очищенные орехи.

Но по-прежнему нельзя грызть ногти, колпачки ручек, перекусывать леску и открывать зубами пачки чипсов. Эти привычки вредны! То есть ровно то, что нельзя делать своими зубами — какими бы крепкими и здоровыми они ни были.

Самое главное, относитесь к зубам с любовью: соблюдайте домашнюю гигиену, меняйте зубные щетки, приходите на профгигиену не реже 1 раза в 6 месяцев и регулярно ходите к своему стоматологу.

Вы всегда можете связаться с нами!
г. Пермь, Комсомольский проспект, 28а
+7 (342) 255-52-86
info@32praktika.ru
Ждем вас ежедневно с 8:00 до 21:00
© «ЦС «32 Практика»
Продолжая работу с сайтом, вы принимаете условия и даете согласие на использование cookies и обработку персональных данных в целях функционирования, ретаргетинга, статистических исследований и аналитики. Сайт соответствует требованиям действующего законодательства, установленными ГОСТ Р 52872-2012 "Интернет ресурсы".
Сайт обрабатывает cookies, с целью персонализации сервисов и чтобы пользоваться веб-сайтом было удобнее. С их помощью мы проводим анализ посещаемости сайта и звонков, в т.ч. с использованием метрических программ Яндекс.Метрика. Вы можете запретить обработку cookies в настройках браузера. Пожалуйста, ознакомьтесь с Политикой в отношении обработки персональных данных. 
Сайт обрабатывает cookies, с целью персонализации сервисов и чтобы пользоваться веб-сайтом было удобнее. С их помощью мы проводим анализ посещаемости сайта и звонков, в т.ч. с использованием метрических программ Яндекс.Метрика. Вы можете запретить обработку cookies в настройках браузера. Пожалуйста, ознакомьтесь с Политикой в отношении обработки персональных данных.